산전센터

임신을 준비하는 단계의 건강 관리

1-1

임신 준비 단계부터 임신 기간 동안의 관리까지
산모와 태아의 상태를 확인하며 진료가 이어집니다.

OBSTETRICS & GYNECOLOGY

임신 기간 동안 의 건강 관리

임신 기간 동안 산모와 태아의 상태를 확인하며 주수에 따라 필요한 검사와 관리가 이루어질 수 있습니다. 산전관리에서는 임신 기간별 영양 관리와 주수별 검사, 특수 초음파 검사를 통해 태아의 성장 상태를 확인합니다.

임신 초기 (1주 ~ 12주)

임신 중기 (13주 ~ 28주)

임신 초기 (1주 ~ 12주)

  • 쇠고기
  • 샤브샤브
  • 잔멸치당근볶음
  • 명란젓찌개
  • 통두부찜
  • 버섯고기산적
  • 미나리강회
  • 쑥국
  • 꽃게탕
  • 연두부
  • 팽이버섯냉채

임신 초기에는 태아의 주요 기관이 형성되는 중요한 시기입니다. 이 시기에는 산모와 태아의 건강을 위해 균형 잡힌 식사가 필요합니다. 단백질, 엽산, 칼슘 등 기본적인 영양소를 충분히 섭취하는 것이 도움이 됩니다. 무리한 식사보다는 규칙적이고 균형 잡힌 영양 관리가 중요합니다.

  • 콩비지찌개
  • 곰탕
  • 깻국탕
  • 사태찜
  • 메밀전
  • 우엉곤약조림
  • 닭간치즈찜
  • 옥수수크림스프
  • 돼지갈비찜
  • 전복야채죽

임신 중기에는 태아의 성장과 발달이 활발해지는 시기입니다. 산모의 건강 상태와 체력 관리가 중요한 시기로, 균형 잡힌 식사와 충분한 영양 섭취가 도움이 될 수 있습니다. 규칙적인 식사와 건강한 식습관을 유지하는 것이 중요합니다.

  • 현미오곡밥
  • 송이고기산적
  • 잣죽
  • 흑임자죽
  • 호두죽
  • 톳무침
  • 마른새우볶음
  • 재첩국
  • 연근우엉조림
  • 아몬드단호박찜

임신 후기에는 출산을 준비하는 중요한 시기입니다. 산모의 체력 유지와 건강 관리가 더욱 중요해질 수 있습니다. 균형 잡힌 식사와 충분한 영양 섭취가 도움이 될 수 있으므로, 규칙적인 식사와 안정적인 생활 관리가 필요합니다.

임신 주수별 검사

임신 기간 동안 산모와 태아의 건강 상태를 확인하기 위해 주수에 따라 다양한 검사가 진행될 수 있습니다.

임신 초기

임신 초기

(첫 내원 ~ 10주)

임신 초기

임신 초기

(11주 ~ 13주)

임신 중기

임신 중기

(16주 ~ 18주)

임신 중기

임신 중기

(21주 ~ 24주)

임신 중기

임신 중기

(24주 ~ 28주)

임신 후기

임신 후기

(27주 ~ 32주)

임신 후기

임신 후기

(31주 ~ 34주)

임신 후기

임신 후기

(34주 ~ 37주)

OBSTETRICS & GYNECOLOGY

정밀 초음파 검사

임신 기간 동안 태아의 성장과 건강 상태를 확인하기 위해 정밀 초음파 검사가 진행될 수 있습니다.

1-2

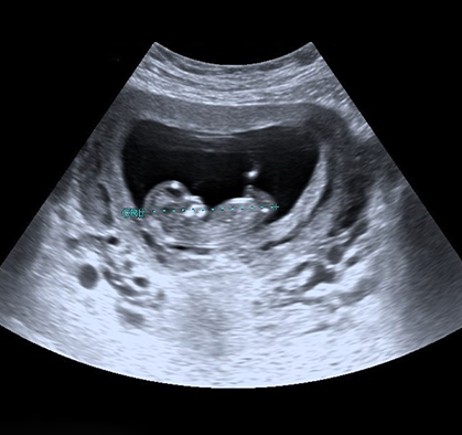
초기 정밀 초음파 (11주 ~ 13주)

태아 목 뒤 투명대 두께를 측정하여 염색체 이상 가능성을 확인하는 검사입니다.

3-14

중기 정밀 초음파 (21주 ~ 24주)

태아 주요 장기 구조를 확인하여 기형 여부를 확인하는 검사입니다.

3-15

입체 초음파 (27주 ~ 28주)

태아의 외형을 입체적으로 확인하는 4D 초음파 검사입니다.